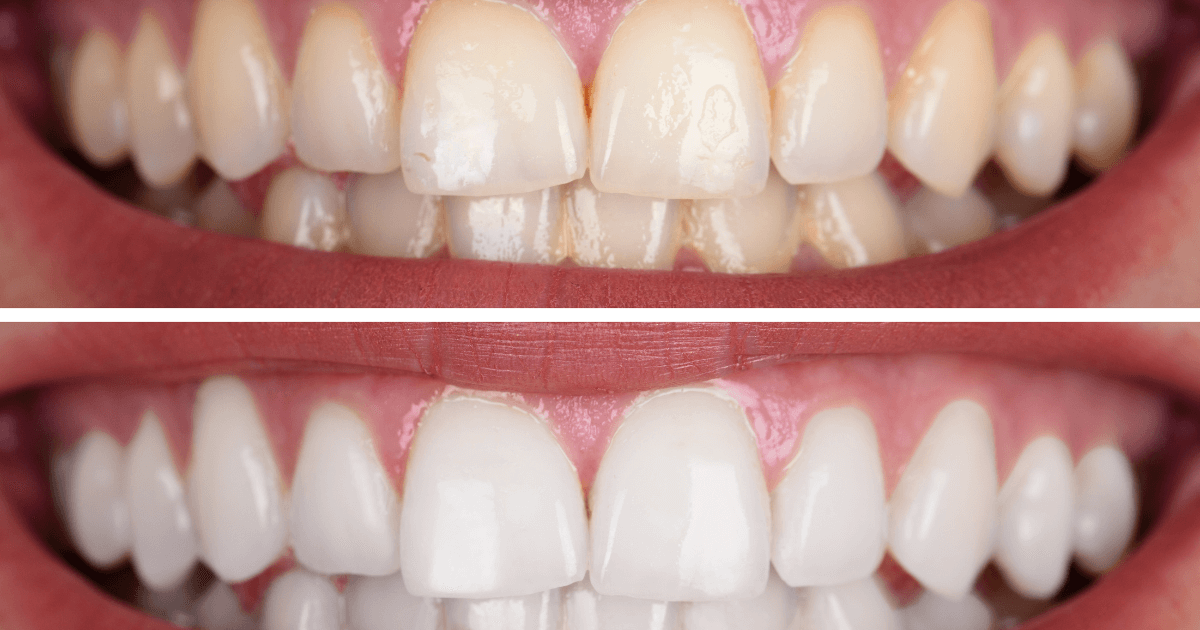
前歯の色や形、すき間が気になると、写真や会話のたびに口元へ意識が向きやすくなります。一方で前歯の審美治療には、ホワイトニングやボンディング、ベニア、セラミックなど選択肢があり、「自分にはどれが合うのか」で迷う方も少なくありません。
前歯の審美治療は、白さや形だけでなく、噛み合わせや発音、歯ぐきとのバランスまで含めて考える治療です。当院では、治療内容を理解してから進められるよう説明と確認を丁寧に行い、痛みが不安な方にも配慮した麻酔に取り組んでいます。
この記事では、前歯の審美治療を検討している方に向けて、治療の目的と考え方、代表的な治療法を整理します。

審美歯科で前歯を治す目的
ここでは、前歯の審美治療が見た目だけでなく、形や色、機能まで含めて考える治療である理由と、長く安定させるための視点を解説します。
見た目だけが目的ではない
前歯の審美治療は、白くして見た目を整えるだけが目的ではありません。前歯は会話中にも見えやすく、発音や噛み合わせに関わる部位のためです。
見た目を優先して歯の長さや厚みを変えると、「サ行が言いにくい」「前歯が当たる」といった違和感が出ることがあります。審美歯科では、見た目と使いやすさの両方を前提に治療を組み立てることが大切です。
形、色、機能を同時に考える
前歯の仕上がりは「形」「色」「機能」をセットで考えるほど自然に見えやすくなります。どれか一つだけを整えても、他の要素がずれると違和感が出やすいためです。
前歯で特に影響が大きい要素は、以下のとおりです。
- 形:歯の長さ、幅、先端の丸み、左右差
- 色:白さ、透明感、周囲の歯とのなじみ
- 機能:噛み合わせの当たり方、発音、歯ぐきとの調和
前歯は部分的にではなく口元全体のバランスで考えましょう。
長く安定させるための設計
審美治療は完成直後よりも数年後にきれいに保てているかで満足度が決まります。前歯は汚れが境目に残りやすく、噛む力や歯ぎしりの影響も受けるため、設計が合っていないと炎症や欠け、再治療につながりやすいためです。
長期安定に関わる代表的なポイントは、以下の3つです。
- 境目(マージン)が合っていて、段差が少ない
- 清掃しやすい形で、歯ぐきに負担が少ない
- 噛み合わせの力が一部に集中しない
当院では、緊張が強い方でも相談しやすいよう説明と確認を丁寧に行い、プライバシーに配慮した環境で落ち着いて検討できる体制を整えています。
関連記事:審美歯科
前歯の悩みは大きく3つに分かれる

ここでは、前歯の悩みを色、形、位置の3つに分けて整理し、どの悩みがどの方向の治療につながりやすいかを説明します。
色の悩み
前歯の悩みで多いものが「色」です。色の問題は、歯そのものの変色か、詰め物や被せ物など人工物の色かで、できることが変わります。
天然歯の黄ばみであればホワイトニングが候補になります。一方で、差し歯や詰め物の色が浮いている場合は、ホワイトニングだけでは揃わないことがあります。
色を整えるためのスタートは、「どこが変色しているのか」を見極めることです。そのうえで、自然に見える白さのゴールを共有すると、仕上がりの満足度が上がります。
形の悩み
前歯の「形」の悩みは、本人の印象を大きく左右します。歯の長さや先端の形、左右差は、少しの差でも正面から見たときに目立ちやすいためです。
欠けやすり減りがあると、清潔感より先に疲れて見える、歯が短く見える印象につながる場合があります。
形の修正は、削る量を抑えられる方法もあれば、全体の再設計が必要な場合もあります。まずは「どこをどう変えると自然に見えるか」を一緒に考えましょう。
位置の悩み
前歯の「位置」の悩みは、見た目だけでなく噛み合わせにも関わります。すき間やねじれ、段差は、光の当たり方で強調されやすく、写真で気になりやすい要素のためです。
すき間(正中離開など)は清潔にしているのに目立ちやすく、悩みの種になるでしょう。軽いねじれでも前歯の見え方が変わってしまう場合もあります。
位置の改善は、矯正で動かす方法と、補綴で見え方を整える方法で考え方が分かれます。まずは「位置を動かす必要があるか」を診断で確認しましょう。
審美歯科で前歯を治療する際の基本的な考え方

ここでは、前歯の審美治療で後悔を減らすために押さえておきたい「削る量」「長期の安定」「向き、不向き」という3つの考え方を説明します。
削る量の考え方
前歯の審美治療では、まず「どのくらい歯を削る可能性があるか」を確認することが大切です。削る量が増えるほど、形や色を整える自由度は上がりやすい一方で、歯への負担も大きくなりやすいためです。
軽い欠けやすき間なら最小限の修復で対応できる場合がありますが、歯の角度や色の差が大きいケースでは、治療法によって削る量が変わります。
何をどこまで変えたいかを整理し、歯科医師の診断のうえで削除量の見通しを共有して進めていきましょう。
短期と長期のバランス
前歯の治療は、完成直後の見た目だけでなく、数年後も安定しているかを合わせて考えると後悔が減ります。噛み合わせや清掃性、歯ぐきとの調和まで含めた設計が重要になります。
短期と長期のバランスを取るために、治療前に確認したいポイントは以下のとおりです。
- いつまでに整えたいか(期限)
- 仕上がりの優先順位(白さ、自然さ、形など)
- 治療後の管理(定期検診や必要ならナイトガードの使用)
これらを先に共有しておくと、無理のない治療計画を立てやすくなるでしょう。
向き、不向きの存在
審美治療は、同じ悩みでも同じ方法が合うとは限りません。噛み合わせや歯ぎしり、歯の厚み、歯ぐきの状態などで、適した治療が変わるためです。
向き、不向きを整理する際は、以下のような視点で確認します。
- 噛む力が強い
- 歯ぎしりがあるか
- 歯ぐきの状態(炎症や下がりがないか)
- 既に詰め物や被せ物があるか
- 位置のズレがどの程度か
自分の条件に合った方法を選ぶことが、仕上がりと安定の両方の満足度につながります。
関連記事:審美歯科とは?一般歯科との違い・治療内容・メリットと注意点をわかりやすく解説
前歯の主な審美歯科治療

ここでは、前歯の審美治療で代表的な4つについて、特徴と注意点を整理します。
ホワイトニング
前歯の「色」が主な悩みで、できるだけ歯を削らずに白さを整えたい場合は、ホワイトニングが基本の選択肢になります。
薬剤で歯の内部の色調を明るくするため、見た目の印象が変わりやすい一方、形や位置を変える治療ではありません。
ホワイトニングで知っておきたい点は以下のとおりです。
- 一時的にしみる(知覚過敏)が出ることがある
- 白さは永久ではなく、後戻りすることがある
- 詰め物や被せ物は白くならない
ホワイトニングは試しやすい反面、どのくらいの白さを目指すかで満足度が大きく変わるでしょう。
ダイレクトボンディング
ダイレクトボンディングとは、歯科用の樹脂(レジン)を歯に直接盛り足し、その場で形や色を整える治療です。型取りをして被せ物を作るのではなく、歯の表面で直接デザインする点が特徴です。
この方法が選ばれる理由は、歯をほとんど削らずに、欠けやすき間、軽い形の不揃いを修正できる場合があるためです。
たとえば「前歯の先端が少し欠けた」「すき間が気になる」「左右の形を少しそろえたい」といった悩みでは、条件が合えばその日のうちに見た目を整えられることもあります。
一方で、セラミックと比べると経年的な変色や摩耗は起こり得ます。また、噛み合わせや力のかかり方によっては欠けやすくなるため、すべてのケースに向くわけではありません。
ダイレクトボンディングは「歯を守りながら、必要な部分だけ整えたい」方に向いた治療法です。
ラミネートベニア
ラミネートベニアとは、歯の表面を薄く整え、その上にセラミック製の薄い板を貼り付ける治療です。イメージとしては「歯の付け爪」に近く、歯の表面側だけを使って色や形を整える方法になります。
この治療は、歯全体を削って被せるセラミッククラウンに比べて、削る量を抑えながら、色と形を同時にコントロールしやすいため選ばれています。
検討する際は、以下の点を事前に確認しておくと安心です。
- 適応になる歯並び・噛み合わせか
- 削る量はどの程度か
- 外れにくくするための設計や生活上の注意点
ラミネートベニアは、「歯をできるだけ残しながら、前歯の印象を整えたい」場合に検討される治療法です。
セラミッククラウン
セラミッククラウンとは、歯を一周ぐるっと覆う「被せ物(クラウン)」をセラミックで作り、歯に装着して色や形を整える治療です。歯の表面だけに貼るラミネートベニアとは違い、歯全体を包むため、見た目だけでなく歯の形や角度まで含めて設計しやすい方法になります。
この治療は、色や透明感、形を総合的にコントロールでき、古い差し歯の変色や形のズレをまとめて改善しやすいです。
検討する際は、以下の点を事前に確認すると安心です。
- 削る量の見通しと、神経への影響
- 境目(マージン)の設計と清掃性
- 噛み合わせ調整と、破折リスクへの配慮
セラミッククラウンは、「前歯の見た目を大きく整えたい」「差し歯を自然にやり替えたい」場合に検討される治療法です。
前歯だけの矯正とセラミック矯正

ここでは、「前歯だけの矯正」と「セラミック矯正」が混同されやすい理由を整理し、それぞれが何をどう変える治療なのかを解説します。
前歯だけの矯正とは
前歯だけの矯正とは、奥歯全体ではなく前歯の並びを中心に動かして整える矯正治療のことです。目的は、歯を削って形を作り直すのではなく、歯の位置や角度を動かして、歯列そのものを改善する点にあります。
「すき間が気になる」「軽いガタつきがある」といったケースでは、状態によって前歯部の矯正で見た目の改善を目指せます。一方で、噛み合わせのズレが大きい場合や、奥歯の位置関係が影響している場合は、前歯だけでは対応が難しいこともあります。
検討する際は、以下の点を診断で判断しましょう。
- 前歯だけ動かしても噛み合わせが崩れないか
- どの程度の期間が必要か
- 後戻りを防ぐための保定が必要か
前歯だけの矯正は、歯をできるだけ削らずに位置を整えたい方に向く選択肢です。
セラミック矯正とは
セラミック矯正とは、矯正装置で歯を動かすのではなく、セラミックの被せ物(主にクラウン)で見た目の歯並びを整える方法を指して使われる言葉です。歯の角度や幅、長さをデザインできるため、短期間で印象を変えたい方が検討することがあります。
「前歯の差し歯が不自然」「歯の形も色もまとめて整えたい」といった場合に、クラウンの設計で見え方を改善できることがあります。一方で、被せ物を入れるために歯を削る必要が出ることがあり、削除量によっては神経への影響を考える必要もあります。
治療の前に、以下の点を確認し、納得してから治療を開始しましょう。
- どの程度削る見込みか
- 神経への影響や、将来の再治療の見通し
- 噛み合わせの調整と破折リスクへの配慮
セラミック矯正は歯を動かすのではなく、被せ物で見え方を整える治療です。
混同しやすい理由
前歯だけの矯正とセラミック矯正が混同されやすいのは、どちらも前歯の見た目が整うという結果が似て見えるためです。
ただし、治療の中身は大きく異なります。矯正は歯を動かして位置を整える治療で、基本的に歯を削らずに進めることが多い一方、セラミック矯正は被せ物で形を作るため削る可能性があります。
見た目の悩みが「位置」なのか「形・色」なのかで、向く治療は変わります。まずは気になる点を歯科医師へ相談し、どこをどう変える必要があるかを診断で確認していきましょう。
審美歯科の前歯治療で得られる変化

ここでは、前歯の審美治療によってどのような変化が期待できるのかを、「見た目」「発音」「清掃性、歯ぐき」という3つの視点から整理します。
見た目の変化
前歯の審美治療で実感しやすい変化は、やはり口元の印象が整うことでしょう。
黄ばみや色ムラが目立たなったり、欠けや左右差が整ったりするだけでも、清潔感や落ち着いた印象につながることがあります。
実際には、真っ白にするよりも、周囲の歯や唇、肌色になじむ自然さを重視した方が満足度が高いケースも少なくありません。前歯の審美治療は、派手に変えることだけが目的ではなく、「違和感なく整う」ことで表情が自然になる変化を目指しましょう。
発音への影響
前歯の形や位置が変わることで、発音に影響が出る場合があります。前歯はサ行やタ行などの発音に関わるため、歯の長さや厚み、噛み合わせの当たり方が変わると、話しにくさを感じることがあるためです。
見た目だけでなく発音への影響も事前に想定し、仮歯や調整の工程で確認していきましょう。
前歯治療では、日常会話での使いやすさまで含めて仕上がりを確認することが大切です。
清掃性と歯ぐき
前歯の形が整うことで、歯磨きがしやすくなり、清掃性が改善する場合があります。
欠けた部分や不自然な形が整うことで、磨き残しが減り、歯ぐきの腫れが落ち着くこともあります。ただし、境目の設計や清掃しにくい形のままだと、逆に炎症やトラブルにつながることもあります。
前歯の審美治療は、見た目の変化だけでなく、歯ぐきの健康やメンテナンスのしやすさまで考えて設計し、長期的に使用できるように治療方針を検討しましょう。
審美歯科の前歯治療で知っておきたいリスク

ここでは、前歯の審美治療を検討するうえで必ず知っておきたいリスクを整理します。リスクを事前に理解したうえで納得して治療を進めましょう。
神経への影響
前歯の審美治療では、治療内容によっては神経に影響が出る可能性があります。被せ物などで形を整える際に歯を削る量が増えると、歯の内部にある神経(歯髄)に刺激が伝わりやすくなるためです。
ただし、すべての審美治療で神経に影響が出るわけではなく、治療法の選択や設計によって削る量を抑えられる場合もあります。
どの程度削る見込みかや神経への影響が起きた場合はどう対応するかを事前に共有し、納得したうえで進めていきましょう。
破折や脱離
セラミックやベニア、ボンディングなどの審美治療では、破折や脱離のリスクがゼロではありません。材料や接着の条件、噛み合わせの力のかかり方によって、負担が集中することがあるためです。
歯ぎしりや食いしばりが強い方、前歯で硬いものを噛み切る癖がある方は、欠けや外れのリスクが上がることがあります。一方で、噛み合わせの調整、設計の工夫、必要に応じたナイトガードなどで、リスクを下げられるケースもあります。
治療前には「自分の噛み合わせだとリスクは高いか」「対策は何が必要か」を確認しておくと安心です。
歯ぐきの変化
前歯の審美治療では、歯ぐきの炎症や退縮など、歯周組織の変化が起こる可能性があります。被せ物のマージンの段差や清掃性、歯ぐきへの圧力が合わないと、汚れが溜まりやすくなり炎症につながるためです。
見た目の治療ほど、歯ぐきの状態が仕上がりに影響するため、治療前に歯ぐきの健康状態も含めて評価して検討しましょう。
将来の再治療
審美治療は長く使えることも多い一方で、将来的に再治療が必要になる可能性があります。噛み合わせや歯ぐきの状態は年単位で変化し、材料の摩耗や接着部の劣化、境目のトラブルが起こり得るためです。
口腔内環境が変わる以上、一定の確率で起こり得る現実と考える必要があります。
治療後の満足度を高めるためにも、再治療の可能性と、そのリスクを下げるためのメンテナンス計画を事前に共有しておきましょう。
関連記事:審美歯科は何がデメリット?治療前に知っておきたい注意点と考え方
神成 分院長の総評|前歯の審美歯科を理解して治療へ進もう
前歯の審美治療は、白くしたり形をそろえたりといった見た目の改善だけで完結するものではありません。前歯は会話中にも見えやすく、噛み合わせや発音、歯ぐきとの調和まで含めてバランスを取る必要があります。
だからこそ、治療法で決めるのではなく、まずは悩みを色、形、位置に整理し、どこをどの程度変える必要があるかを確認していきましょう。
また、前歯の治療は「短期間で整うか」だけでなく、「数年後も安定しているか」が満足度に直結します。削る量、噛む力のかかり方、境目の設計、清掃性など、長期的な安定に関わる要素は複数あります。見た目のゴールを共有したうえで、リスクや将来の見通しまで含めて説明を受けるほど、納得感のある選択につながります。
当院では、前歯の悩みのように周囲に相談しにくい内容でも落ち着いて話せるよう、プライバシーに配慮した診療環境で、説明と確認を行っています。治療を急いで決める必要はありません。まずは気になっている点と、理想のイメージを整理したうえで、状態の確認と選択肢の比較から始めていきましょう。

大手町で歯医者をお探しなら「ハミール東京デンタルオフィス」
「大手町駅」より徒歩1分の歯医者
当院、医療法人歯科ハミールの分院も、今後共よろしくお願いいたします。
この記事を監修した人

ハミール東京デンタルオフィス 分院長
神成 勝彦
経歴
- 奥羽大学歯学部卒
- 複数のクリニックでの診療経験あり
- 開院&院長経験あり
- 医療法人歯科ハミールに入局
- 院長に就任(予定)